메뉴 건너뛰기

아틀란타 사진동호회

2011.02.21 09:09

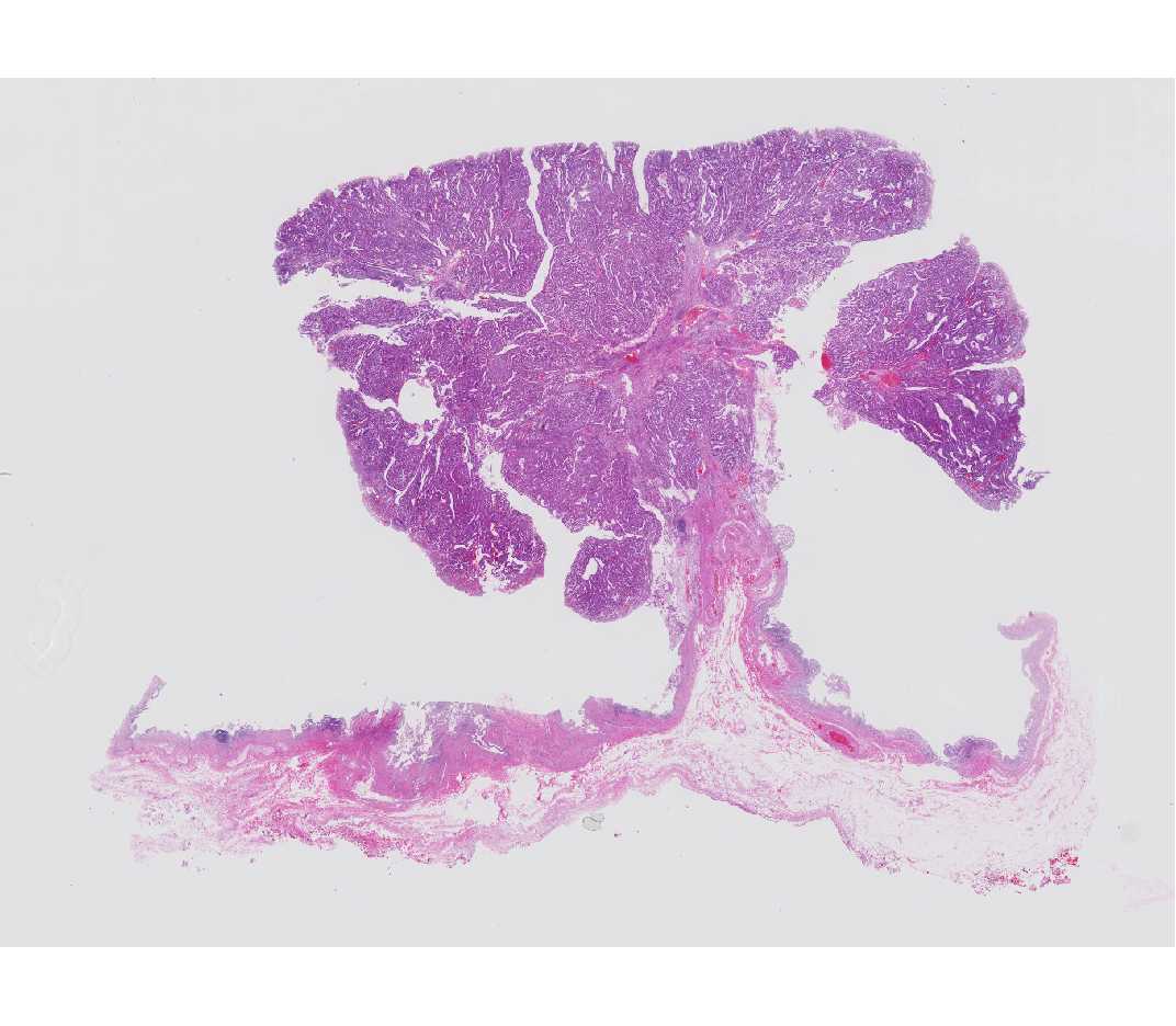
Cell tree

조회 수 4,902 추천 수 0 댓글 2
?

단축키

Prev이전 문서

Next다음 문서

위로 아래로 댓글로 가기 인쇄 목록
Extra Form
  • 공공 2011.02.21 12:08

    꼭  분재 나무처럼 생겼습니다.

    일반 디지탈 카메리로 찍습니까?  아니면 특별한 카메라가 있는 건가요?

  • 장가 2011.02.21 13:17 글쓴이 Files첨부 (1)

    공공 님에게 달린 댓글

    현미경 촬영용 디지탈 카메라가 따로 있습니다, 현미경 상단에 붙여서 사용하기 때문에 일반 디카로는 이런 사진을 찍을 수는 없습니다.

    현미경과 디카만 있어도 안되고 컴퓨터 여러가지 부속품들이 필요하죠, 아래 사진과 같다고 보시면 됩니다.

    Microscope_Digital_Camera.jpg


자유갤러리

게시물, 사진 등록 요령과 주의사항이 아래 링크에 있으니 꼭 확인해 주시기 바랍니다.

게시물 작성 제한 사항


갤러리 사진 등록가이드

  1. 16
    Nov 2025
    13시간 전
    NEW

    예술가의 삶

    Category :사람/인물 마수걸이 Reply1 Views21 Shot Location :Atlanta, GA newfile
    Read More
  2. 15
    Nov 2025
    20:36
    Update

    태양 보케

    Category :자연/풍경 포타그 Reply1 Views34 Shot Location :Sweetwater updatefile
    Read More
  3. 15
    Nov 2025
    19:10

    가을 찍사

    Category :자연/풍경 포타그 Views30 Shot Location :Sweetwater file
    Read More
  4. 15
    Nov 2025
    18:47
    Update

    기다림

    Category :사람/인물 luz Reply3 Views29 Shot Location :park updatefile
    Read More
  5. 15
    Nov 2025
    17:50
    Update

    Northern cardinal

    Category :동물 keester Reply1 Views24 Votes1 Shot Location :Swanee GA updatefile
    Read More
  6. 14
    Nov 2025
    02:40

    무제

    Category :사람/인물 Jettery Views50 file
    Read More
  7. 13
    Nov 2025
    21:01

    그냥 갈순 없쟎아

    Category :Long Exposure tornado Views33 Votes1 file
    Read More
  8. 13
    Nov 2025
    15:42

    델리를 떠나며

    Category :Street Photography 똘래 Reply2 Views41 Votes1 Shot Location :인도 델리외 file
    Read More
  9. 10
    Nov 2025
    04:54

    쉬~잇!

    Category :Street Photography Edwin Reply5 Views52 Votes1 file
    Read More
  10. 09
    Nov 2025
    23:27

    가위 바위 보!

    Category :사람/인물 마수걸이 Reply7 Views41 Shot Location :Chamblee, GA file
    Read More
  11. 09
    Nov 2025
    16:42

    내 자리인가?

    Category :Street Photography Edwin Views41 file
    Read More
  12. 09
    Nov 2025
    12:46

    젊은 가을날

    Category :스포츠/레져 PapaBear Reply7 Views53 Shot Location :Marietta.GA file
    Read More
  13. 09
    Nov 2025
    11:58

    강 스파이크

    Category :스포츠/레져 치즈 Reply8 Views46 Votes1 Shot Location :Marietta, GA file
    Read More
  14. 09
    Nov 2025
    10:09

    델리의 스트릿포토

    Category :Street Photography 똘래 Reply2 Views38 Shot Location :인도 델리 file
    Read More
  15. 09
    Nov 2025
    09:07

    알렉상드르 3세 다리

    Category :Street Photography Edwin Reply1 Views32 Shot Location :파리 file
    Read More
  16. 09
    Nov 2025
    04:48

    (Cypress Tree

    Category :자연/풍경 tornado Reply5 Views38 Votes1 file
    Read More
  17. 09
    Nov 2025
    02:20

    난 강아지라구욧!

    Category :동물 Shalom Reply8 Views31 Votes1 Shot Location :Ashville file
    Read More
  18. 09
    Nov 2025
    01:23

    언니의 기쁨 "조이"

    Category :동물 Shalom Reply10 Views45 Votes3 file
    Read More
  19. 08
    Nov 2025
    18:50

    샌프란 야경

    Category :Long Exposure tornado Reply6 Views41 Votes3 file
    Read More
  20. 07
    Nov 2025
    22:12

    유혹

    Category :생활 유타배씨 Reply12 Views48 Votes1 Shot Location :동묘근처 file
    Read More
  21. 06
    Nov 2025
    19:38

    멋진 거

    Category :Long Exposure tornado Reply17 Views48 Votes4 file
    Read More
  22. 06
    Nov 2025
    07:15

    가을이 왔네요.

    Category :감성사진 Edwin Reply8 Views40 file
    Read More
  23. 04
    Nov 2025
    19:32

    거울 액자

    Category :Street Photography 왕눈이 Reply8 Views46 Votes1 Shot Location :Richmond, VA file
    Read More
  24. 04
    Nov 2025
    09:07

    프레드 머큐리 오른손

    Category :Street Photography Edwin Reply8 Views50 Shot Location :몽트뢰, 스위스 file
    Read More
  25. 03
    Nov 2025
    20:48

    형제와 소년들

    Category :Street Photography 똘래 Reply4 Views43 Shot Location :인도 델리 file
    Read More
목록
Board Pagination Prev 1 2 3 4 5 6 7 8 9 10 ... 701 Next
/ 701